Laura de León es una actriz y presentadora colombiana reconocida por su participación en exitosas producciones de televisión como ‘La Playita’, ‘La Ley del Corazón’ y ‘Verdad Oculta’. Con su talento en pantalla, se ha consolidado como una de las figuras más queridas de la actuación en el país.
Recientemente, la actriz Laura de León confesó que atraviesa un proceso de recuperación que ha mantenido en alerta a sus seguidores, quienes han estado pendientes de cada actualización sobre su estado.
Lee también: ¡Fin a los rumores! Salomón Bustamante confirmó su divorcio con Laura de León; esto dijo
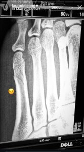
Recientemente, por medio de una publicación en Instagram, la actriz confesó que había sufrido un accidente que terminó causándole una “fractura oblicua”, una lesión que ocurre cuando el hueso se quiebra en diagonal, generando un dolor intenso y una recuperación más lenta. Según contó, lleva cuatro días soportando las molestias, pero que aún le faltan 30 días así.
Ver esta publicación en Instagram
Te podría interesar: Crecen los rumores sobre la ruptura entre Laura de León y su esposo; esto se sabe
Además, la actriz decidió dirigirse a sus seguidores por medio de sus historias de Instagram para dar un parte de tranquilidad sobre su estado de salud, luego del accidente que la dejó con una dolorosa lesión. Con sinceridad y un toque de humor, contó cómo han sido estos días de recuperación y agradeció el apoyo constante que ha recibido.
“Esta es mi primera fractura en su vida, no quiero volver a fracturarme, gracias a Dios, no es peor, no es de cirugía (…)gracias por todos los consejos, que la bolsa para bañarse, que la almohadilla o los flotadores“, mencionó la actriz.

Finalmente, sus seguidores no dudaron en apoyarla con mensajes llenos de cariño, buenos deseos y pronta recuperación, demostrando el afecto que le tienen.
“Que te mejores “, “Te vas a mejorar tu dale con toda la actitud”, “Pronta recuperación mi Lau, que Dios te bendiga”, “Lo siento mucho, pronta recuperación“, fueron algunos de los comentarios de sus seguidores.
© CARACOL S.A. Todos los derechos reservados.
CARACOL S.A. realiza una reserva expresa de las reproducciones y usos de las obras y otras prestaciones accesibles desde este sitio web a medios de lectura mecánica u otros medios que resulten adecuados.